In a hurry or in pain?
Don’t make a permanent decision based on a quick exam.
👉 Request a Second Opinion Consult
Or call us directly at (202) 686-5222
Told You Need an Extraction? Read This Before You Lose The “Hopeless” Tooth
Your dentist just told you the words no patient wants to hear: “This tooth is too far gone. We need to pull it and place an implant.”
It’s a common diagnosis. In many high-volume dental offices, if a tooth is broken at the gumline or has deep decay, extraction is the “predictable” and fast option. It takes 20 minutes to pull a tooth; it takes hours of skill to rebuild it.
But at Slate Dental, we measure success differently. We believe that the best implant in the world is still second-best to your natural tooth.
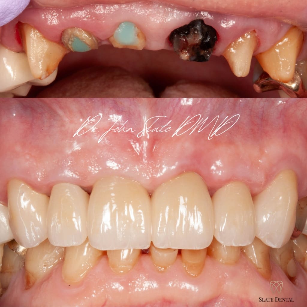
Take a look at this case:

A tooth broken down to the gumline. Most dentists would extract this immediately.
If you looked at the photo above, you might agree with the first dentist. It looks impossible, right? The structure is gone. But traditional dentistry often gives up on teeth like this because it relies on old rules of “mechanical retention” or a “ferrule” – needing a stump to hold a crown.
We take a different approach. Using advanced adhesive protocols, we triple disinfect and chemically bond to the tooth’s foundation. This allows us to predictably save teeth that traditional dentistry cannot save – which is exactly why most other dentists skip straight to recommending an implant.
Why We Save Teeth Others Extract
Many patients come to us after a previous dentist told them their tooth is ‘hopeless’ or that an implant is their only option. While implants are a great tool, nothing functions quite like your natural tooth.
At Slate Dental, we refuse to take a ‘patch-and-repair’ approach. Instead, we utilize advanced restorative protocols designed to simplify complex cases and maximize longevity. This isn’t just about filling a cavity; it is about structurally rebuilding the tooth from the foundation up.
By using high-precision adhesive techniques and rigorous isolation protocols, we can often rescue teeth that are structurally compromised. Before you commit to surgery or an extraction, let us evaluate if your natural tooth can be rebuilt to last.
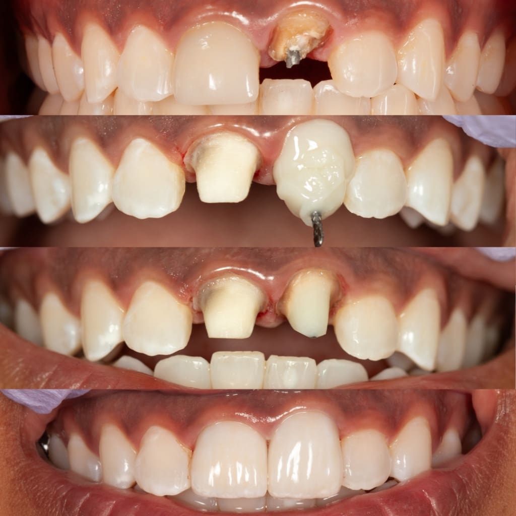
A Real-World Example: Rebuilding the Foundation

This image shows the final tooth-colored preparation. We saved this tooth, which had a large hole in its root, by using a titanium post (like rebar) and chemically bonding the structure in a completely sterile environment. We used air abrasion to create the strongest possible bond. This creates an ideal foundation for our lab to craft a porcelain crown that perfectly matches the natural shade and character of the surrounding teeth.

Functional & Aesthetic Transformation: We applied the same advanced adhesive protocols here to structurally rebuild the teeth before placing the final restorations. For the finish, we designed two new porcelain crowns to correct the aesthetics—replacing the old ‘square’ look with a more idealized, natural shape that blends perfectly with the smile.
This isn’t a patch job. This is structural engineering for your mouth. We seal the tooth immediately, essentially creating ‘new virgin tooth’ structure.
This allows us to use high-magnification loupes and precise hand skills to sculpt smooth, even preparation surfaces. These rigorous protocols provide the ideal conditions for our ceramist to design a restoration with the perfect shape, color, and contour—mimicking the completely natural look and feel of your tooth.
The Results Speak for Themselves
Saving a tooth isn’t just about avoiding surgery; it’s about restoring your confidence. Whether it is a single broken molar or a complex case involving years of wear and decay, our goal is to get you back to smiling without relying on titanium screws whenever possible.

Hidden Decay Revealed: Sometimes, the most significant damage is hidden beneath old dental work. We use high-resolution intraoral cameras to capture what the naked eye might miss. This provides you with absolute transparency – letting you see exactly what we see – and ensures we document and eliminate every trace of decay before we begin rebuilding the foundation.

Full Rehabilitation: We transformed ‘broken and decayed’ into a pristine structural foundation. By meticulously removing all unhealthy tissue and refining the teeth into clean, smooth, healthy structures, we ensure the final result is not just a cosmetic improvement, but a biological success built to last.
Is Your Tooth Truly “Hopeless”?
It might be. Sometimes, extraction really is the only biological option. But you deserve to know for sure before you undergo irreversible surgery.
If you have a cracked tooth, a failed crown, or have been told you need “all-on-4” implants, come to Foxhall Square for a focused Restorability Assessment. I will provide you with the honest, structural realities of your case so you can make the right choice for your long-term health.
Don’t Have Your X-Rays? We Handle the Paperwork
Many patients hesitate to get a second opinion because they don’t want the hassle of calling their previous dentist for records.
At Slate Dental, we remove that barrier. You do not need to have your X-rays in hand to schedule.
Our “Concierge Record Release” Process:
-
Schedule your consult (Online or by phone).
-
We will text or email you a secure digital release form.
-
You sign it on your phone in seconds.
-
We contact your previous dentist to transfer your X-rays and records for you.
You don’t need to be the middleman. We handle the administration so you can focus entirely on saving your tooth.
Keep your natural smile.
📅 Schedule Your Restorability Consultation Online
Not ready to book?
Email us directly to ask a question first: Contact@SlateDentalDC.com
Or call us directly at (202) 686-5222
