The Goal: “I Just Want My Smile Back”
In reality, most patients who come to Slate Dental aren’t looking for a blinding white “Hollywood” smile. They are looking for their smile—just the way it looked ten years ago.
In this recent case, our patient came to us with a concern we hear often: “My teeth feel shorter than they used to be.”
Over time, life takes a toll on our enamel. Years of chewing, nighttime grinding, and natural wear can slowly chip away the edges of the front teeth. As the teeth get shorter, they look flatter and “older.” Often, this loss of volume creates small spaces (gaps) between the teeth that weren’t there before.
She didn’t want to look like she had “work done.” She simply wanted to restore the length, close the spaces, and bring back the youthful vibrancy she felt she had lost.

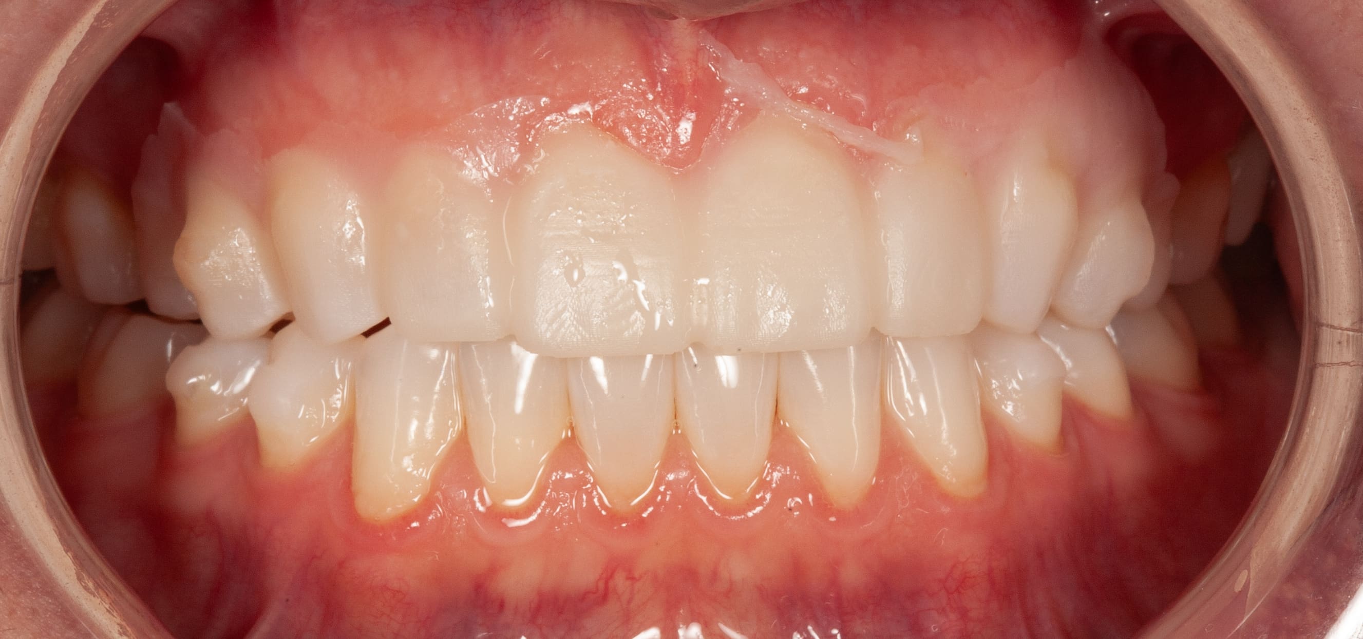
Notice how the four hand-layered veneers restored her youthful tooth length and seamlessly closed the gaps. The result is bright, harmonious, and completely natural.
The “Slate Standard” Diagnosis
However, at many offices, the solution to this would be a quick “patch job” with bonding or aggressive crowning. At Slate Dental, we take a Biomimetic approach—mimicking nature.
During her comprehensive consultation, we identified the three structural factors that were aging her smile:
- Loss of Length: The edges of her central incisors had worn down flat, hiding her teeth when she spoke.
- Visual Spacing: As the teeth wore down, the natural harmony of her arch was lost, creating distracting gaps.
- Diminished Volume: Her teeth had lost their natural curvature, causing them to reflect light poorly and look dull.
The Customized Plan: We prescribed 4 Hand-Layered Porcelain Veneers. This focused approach (treating just the front four teeth) allowed us to blend the new restorations seamlessly with her natural smile—conserving her healthy tooth structure while correcting the aesthetics.
Phase 1: The Blueprint (No Surprises)
Admittedly, the biggest fear with cosmetic dentistry is the unknown. What if I don’t like it? What if it looks fake?
Fortunately, we eliminate that fear with our Custom Mock-Up Protocol. Before we touched a single tooth, we designed her new smile digitally and in wax. We then transferred this design into her mouth using a temporary material.
- The “Test Drive”: She was able to see the proposed length and shape in her own mouth instantly.
- The Customization: We made small adjustments to the curve of the edges right there in the chair, ensuring the smile matched her face shape perfectly.

A layer of temporary material is reversibly layered on top of the patients completely natural teeth to “test drive” our final veneer design.

The patient visualizing the new length before we commit to her personalized treatment plan.
Phase 2: Preparation & Prototypes
Once the blueprint was approved, we moved to the preparation phase. Because her goal was to add volume and length, we utilized a Minimal Prep technique. This allows us to preserve the maximum amount of strong, healthy enamel, which is critical for the long-term strength of the veneers.
Living with the Look: She left this appointment wearing custom prototypes (temporaries) that mirrored the final design. This allowed her to “road test” the new length for two weeks to ensure it felt natural when speaking and chewing.

The temporary phase allows us to verify the proper shape, length, and chewing function of the teeth. It also gives us the opportunity to custom-select a shade that blends invisibly with your neighboring teeth.
Phase 3: The Reveal
Then, two weeks later, the final porcelain restorations arrived from our master ceramist. Unlike mass-produced veneers, these were hand-layered to mimic the translucency and texture of natural enamel. We bonded them into place using a high-strength adhesive protocol.
The Result:
- Length Restored: The smile follows the natural curve of her lower lip, taking years off her appearance.
- Spaces Closed: The gaps are gone, creating a harmonious, uninterrupted smile line.
- Undetectable Integration: It is nearly impossible to tell where the porcelain ends and her natural teeth begin.

Natural volume restored and spaces closed.
FAQ: Planning Your Restoration
If you feel your smile has worn down over the years, here is what you need to know about reclaiming it.
1. Is this purely cosmetic?
Not at all. While the result is beautiful, the goal is structural. By restoring the length of your teeth, we are often protecting them from further wear and balancing your bite.
2. How do you make it look natural?
We avoid “monochromatic” white. Natural teeth have gradients of color and slight translucency at the edges. Our ceramists hand-paint these details into the porcelain so they catch the light exactly like real enamel.
3. How long does the process take?
We value your time and streamlined this case into 4 visits over 3-6 weeks:
- Visit 1: Records & Design (The Blueprint)
- Visit 2: Mock-up try in (Fun!)
- Visit 3: Preparation & Prototypes (The Foundation)
- Visit 4: Delivery (The Celebration)
4. What is the investment?
We believe in transparency.
- Cost per Tooth: Custom, hand-layered porcelain veneers typically range from $2,400 to $2,900 per unit.
- Financing: We offer Interest-Free Financing for up to 6 months to make this investment in yourself accessible.
Ready to turn back the clock? Start your personalized blueprint process today.
Not Ready to Book?
Get a Free Virtual Smile Assessment
First, tell us a little about your smile goals below.
Next, we will email you simple instructions to snap a quick selfie.
Finally, Dr. Slate will review your photo and send you a custom video consult.
🔒 100% Private. No obligation.
